02.08.2017

Drucken

Therapien für ältere Leukämiepatienten

Die Deutsche Forschungsgemeinschaft (DFG) fördert eine neue Forschergruppe am Deutschen Krebsforschungszentrum, im Deutschen Konsortium für Translationale Krebsforschung (DKTK), sowie an der Universität und am Universitätsklinikum Freiburg. Die Wissenschaftler wollen gemeinsam die akute myeloische Leukämie (AML) untersuchen – aus grundlagenwissenschaftlicher und aus klinischer Perspektive. Die DFG unterstützt das Vorhaben in den kommenden drei Jahren mit knapp 4,2 Millionen Euro.

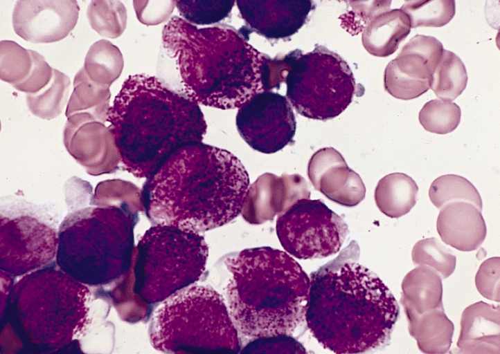
Bei Patienten, die an einer AML erkrankt sind, enthält das Knochenmark viel zu viele unreife myeloische Zellen. © The Armed Forces Institute of Pathology (AFIP), Wikimedia Commons

Die AML, eine bösartige Erkrankung des Blutes, wird jährlich bei etwa 3.000 Menschen in Deutschland diagnostiziert. Sie tritt vor allem bei Menschen auf, die älter als 60 Jahre sind. Die AML macht etwa 80 Prozent aller akuten Leukämien bei Erwachsenen aus. Die Forschergruppe „Alters-assozierte epigenetische Veränderungen als therapeutischer Ansatzpunkt in der Behandlung der akuten myeloischen Leukämie" will epigenetische Veränderungen bei leukämischen Stammzellen analysieren, die vor allem bei älteren Menschen auftreten und zur Entwicklung der AML führen können. Sprecher ist Michael Lübbert aus der Klinik für Innere Medizin I des Universitätsklinikums Freiburg, der zusammen mit Christoph Plass vom Deutschen Krebsforschungszentrum das Projekt koordiniert. Beide engagieren sich im Deutschen Konsortium für Translationale Krebsforschung (DKTK) im Bereich „Molekulare Mechanismen der Krebsentstehung“.

Die Epigenetik befasst sich mit Mechanismen der Vererbung, die ohne eine Änderung der DNA-Sequenz auftreten. Es handelt sich um dynamische Veränderungen, bei denen wechselnde Umweltbedingungen wie beispielsweise Ernährung, Stress oder Medikamente epigenetische Muster hinterlassen. Epigenetische Mechanismen bestimmen also, welche Gene zu welchem Zeitpunkt aktiviert oder stillgelegt werden.

Das besondere Augenmerk der Wissenschaftler gilt zum einen den Interaktionen zwischen den genetischen Veränderungen, die bei der AML auftreten, und dem Epigenom – der Gesamtheit der epigenetischen Muster – von leukämischen Stammzellen unterschiedlicher Alterungsphasen. Weiterhin ist eine Weiterentwicklung bereits etablierter epigenetischer Therapieansätze und deren möglichst zügige klinische Umsetzung, insbesondere bei älteren Patienten mit AML ein besonderes Anliegen des Konsortiums. „Gerade bei AML Patienten im fortgeschrittenen Alter fehlen heute wirksame und verträgliche Therapien. Hier besteht großer Forschungsbedarf. Die Förderung durch die DFG ermöglicht uns, besonders aussichtsreiche Ansätze weiterzuverfolgen und möglicherweise bis in die klinische Prüfung zu bringen", freut sich Christoph Plass über die Entscheidung der DFG.

Mit Forschergruppen und Klinischen Forschergruppen unterstützt die DFG Arbeitsbündnisse, die sich gemeinsam einer Forschungsaufgabe widmen. Auf diese Weise sollen Ergebnisse ermöglicht werden, die sich im Rahmen einer Einzelförderung in der Regel nicht realisieren lassen.