03/07/2016
Print PageDKTK Freiburg: How different are tumor blood vessels?
Glioblastoma is the most common malignant tumor of the brain. After diagnosis, glioblastoma patients, if untreated, survive only a few months which can be prolonged to about 15 months with conventional treatments such as radiotherapy, surgery and chemotherapy. Recently, new treatment approaches have become available which, for instance suppress a signaling cascade that initiates the development of blood vessels around the tumor, which are needed to supply the tumor tissue with nutrients.
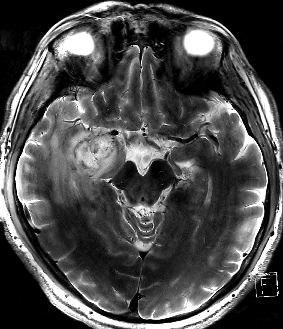
The initial diagnosis of a glioblastoma is often made with magnetic resonance imaging (MRI) which provides images with an excellent contrast between the tumor, the surrounding edema, and the adjacent normal brain tissue. Imaging of blood vessels is typically not part of the MRI exam, because the tiny and immature blood vessels of the tumor are difficult to detect with MRI. ‘With sub-millimeter MR angiography at very high magnetic fields of 7T we were able to see vessels surrounding the tumor’, says Michael Bock, former head of the high-field MRI at the DKFZ, and now professor for experimental radiology in Freiburg. ‘As part of the translational work at the DKTK, we wanted to bring this technology into clinical use.’ Irina Mader, professor for neuroradiology in Freiburg, adds: ’And this means: MRI field strengths of 3 Tesla and less.’
After careful optimization of the MR imaging parameters the team could detect the tumor vascu-lature also in a clinical setting. ‘However, seeing tumor blood vessels is not enough - the computer should automatically differentiate between tumor and normal vessels’, explains Maddalena Strumia, computer scientist in the team. ‘To achieve this, we first detected all vessels in the MR images, and then calculated their local orientation’. With this parameter normal, more straight blood vessels could be clearly separated from the curved tumor vessels. “With this software might be able to predict the success of a cost-intensive anti-angiogenic treatment at an early stage.” says Dr. Wilfried Reichardt.
Dr. Dieter Heiland from the department of neurosurgery has correlated the curvature measurements with genome-wide expression analysis. ‘Through the combination of these new diagnostic tools we can get to a better understanding of the different subtypes of glioblastoma’, he is convinced. It is this cooperation between clinicians, theoretical and experimental scientists which makes the DKTK consortium so unique.
Original Publication:
Strumia M, Reichardt W, Staszewski O,·Heiland DH, Weyerbrock A, Mader I, Bock M. Glioma vessel abnormality quantification using time‑of‑flight MR angiography. Magn Reson Mater Phy 2016
